こんにちは!
企画・監督の豪田トモです。
突然ですが、、、
プロデューサーの牛山朋子が、
僕の子供を妊娠しました!!
ここ数日、牛山が気分が良くないという話をしていて、「このまま生理が終わってしまうんじゃないか!?」と本気で心配して(笑)、一昨日、産婦人科に行ったんです。
そうしたら、、、
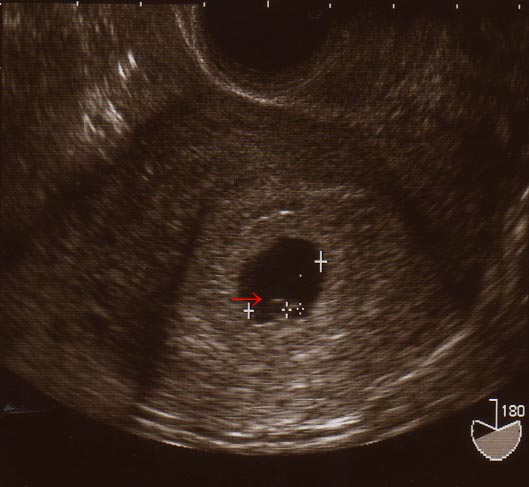
2mmの赤ちゃんが、ビシッと子宮にいました!!!
その小さな、小さな新しい命には、ちゃーんと心拍まであるんです!

人生で一番嬉しい日になりました。
まだ妊娠4~5週なので、この時期に発表する人ってあんまりいないと思います。
安定期(12週以降)に入るまでに流産してしまう率が非常に高いので、数週間後に
「今回は一旦帰ってしまいました(涙)。また来るらしいです。。。」
という報告をさせていただく可能性もあります。
でも、それを含めても、
嬉しいんです!!
実は、僕らは、結婚していないのですが、去年の夏に「産約(さんやく)」というものをしました。「産約(さんやく)」は僕が勝手に造った言葉なのですが(笑)、「共に子どもを産み・育てる約束」です。
イベント等でお話させていただいたこともありましたが、僕は幼少時から両親とあまり良い関係を築く事が出来なくって、両親の不仲を見てきた影響もあってか、結婚というものに憧れを抱く事が出来ず、自分の遺伝子を残したいとも思っていませんでした。
色々あって20代の後半に結婚しましたが、失敗しています。
それは、僕にとって人生で一番辛い経験でした。
当時、
「結婚生活よりも夢実現」
と自分の中で明確な優先順位をつけて、映像の世界に飛び込んだのですが、自分の作った映像を見てくれる人がいない辛さ、は想像していませんでした。
その時に心から感じたこと。
【誰かと一緒に夢を実現することが本当の幸せ】
なんだって事です。
別れた後、居場所がないので実家に一旦もどりましたが、僕の居場所はなく、その時に、
両親との関係が無意識のうちに自分とパートナーとの関係に影響している
事に気づきました。
もし、子どもが産まれても、愛することができないんじゃないか、子どもが辛い思いをしてしまうんじゃないか、そう思って、子どもがほしいと思っていなかったんです。
その経験から、両親との関係を改善する必要性を感じ、映画「うまれる」の製作へと発展していきます。
この映画を作り始めて、両親との関係も改善し、様々な人々と出会い、"思い"が沸々と湧いて来たんですよね。
30数年かかりましたが、ようやく、自分自身の中で、
父親になる準備ができたような気がします。
おそらく、今はお米サイズのチビちゃんが元気に大きくなって、産まれてくるのは、12月下旬。
映画の公開がスタートしている後なので、おそらく、僕も牛山も「うまれる」の仕事は一段落ついているので、タイミングとしてはバッチリ!
子供はちゃ~んと時期を選んで産まれて来てくれるのかな、なんてファンタジーな事を考えてしまいます。
僕らにとって「うまれる」は、映画を中心に、書籍や雑誌、イベント、ウェブ等、様々な表現方法でメッセージを発信していくという大プロジェクトですが(まだまだ進行中の企画はたくさんあります!)、最後のワン・ピースは「子供がうまれる」という事になりそうです。
今後は、映画が「うまれる」様子と同時に、僕らの子供が「うまれる」様子も同時にお届けしていく事になると思いますので、どうぞよろしくお願いいたします。
最後に、
お父さん、お母さんへ
命をつないでくれてありがとう。
これまで辛い想いをさせてしまったけれど、2人は僕にとってベストな両親だったと思います。
そして、まだ見ぬチビへ
つながってくれてありがとう。
まだ君はお米くらいの大きさだけれど、会える日を楽しみに待っています。
じっくりと育って、この素晴らしい世界へ飛び出してきてください。


豪田さん、牛山さん
「うまれる」のメールマガジンを拝読させていただいている
ありんこと申します。
ご懐妊、おめでとうございます。
素晴らしいお知らせを、自らのことのように嬉しく感じて
しまいました。
これからも、映画「うまれる」のご活動と共に、胎児ちゃんの
ご成長のご様子も、心より楽しみにしております。
常夏シンガポール在住 ありんこより
トモさん、牛山さん、おめでとうございますヽ(^o^)丿
映画の誕生とともに、命が生まれてくるなんて、あまりにもできすぎです。
この命の誕生に少しでも関われることは、私にとって大いなる喜びです。
「産約」・・・なかなか奥が深い言葉ですね。
これで救われる人もたくさんいるような気がします。
映画も赤ちゃんも、いい「うまれ」ができるように祈っております。
こっちまでうれしくなりました(涙)。
ありがとうございます!
おめでとうございます(^o^)☆☆☆
私の誕生日にご報告頂いたので、誕生日が益々嬉しいものになりました♪しかも昨日は電話をくれた母に「産んでくれてありがとう」と初めて伝えられました。母は喜んでくれました。昨年の誕生日には言えず、12月のうまれる製作イベントの後も言えずにいたので、嬉しさ盛り沢山の誕生日でした。
(母とは一昨年に第三子を死産してから、色々意見が食い違い、歩み寄れずにいたので…伝えられた事をきっかけに、関係を改善できたらなと思ってます)
赤ちゃんは、二人の元に来てくれた事に意味があると思います。いつ、どんなタイミングだったとしても、必ず親にメッセージを届ける為、親子・家族で幸せになる為に、来てくれます。(池川先生の受け売りですが)赤ちゃんは、お二人の為だけでなく、「うまれる」をさらに良いものにするお手伝いをする為にも、来てくれたのかも知れませんね。
それにしても、1/31「パパがんばって~」が現実になりましたね。さっきプロダクションノートを遡って見つけて、微笑ましくて、笑っちゃいました(笑)。
虎の父です。
おめでとうございます。
すごいタイミングです。
やっぱりどこかで見てるんでしょうね。
チビちゃん、いらっしゃい!
トモさん 最高のシェアをありがとう。
そしておめでとうございます。
全てがその、その2mmからはじまり。。
そして、「いのちのまつり」の絵本を思い出しました。
私たちの祖先、その誰一人欠けても今の私は存在しなかった。
つながっていること。つながっていくこと。
感謝すること。感謝できる自分という存在。
トモちゃんず?(笑)ばんざい!
朝からとってもいい気持です。ありがとうの気持をこめて。
トミー、ケティー、本当におめでとうございます。
伝えたい言葉が沢山あるのですが、
今は純粋に「おめでとうございます。」の一言です。
そして、トミーとケティーの所に来たいと
決心してくれたベビーちゃん、
私が言うのはおこがましいのですが ”ありがとう。”
「ケティー、大変な時はLizちゃんが守ってあげる~」
だそうです。(^^;
今以上、お二人ともお体をご自愛ください。
トモさま、牛山さま、おめでとうございます!!!
無痛分娩の小林です。
お忙しい日々とは思いますが、お身体大切になさってくださいね。
うれしい報告にビックリ!でした。
お二人のこれからの報告も楽しみにしています。
どんな出産を選ばれるのか・・・
選択肢が多くて大変ですね(笑)。
ご懐妊おめでとうございます。
以前体験談で 未成年の娘の出産を投稿したばぁばです。
本当に本当に!おめでとうございます。
赤ちゃん すごいタイミングでやってきてくれましたね!!
ビックリしました。
本当に赤ちゃんって ちゃんとお空から見ていて
親と時期を選んでやって来るんだ!って改めて感じました。
『産約』 とても深い素敵な言葉ですね。
娘から昨日「これからの事を話し合いたいから時間作って」と
聞かされた所で 話の内容はだいたい娘からは聞いていますが
また高校卒業できなくて 就職もなく アルバイト
だけど3人で一緒に暮らしたい!らしいです。
相手の母親が「息子に自覚を持たせるためにも3人で暮らしなさい」
と娘に言ったそうです。
あの時 小さな命の重みを感じてくれていたら・・・
せめてあの時は申し訳なかったと一言でもあれば・・・
心の狭い私は 今もずっと心に引っかかって残っています。
すみません おめでたい話に愚痴を書いてしまいました。
まだまだ不安定な時期です お仕事大変だと思いますが
お腹の中で毎日すごい成長をしているチビちゃんを
どうぞ大事にして下さいね♪
幸せのおすそわけ ありがとうございました♪
おめでとうございます♪
サポーターに登録して、はじめて届いたメールが
御懐妊の報告で自分のことのように
嬉しくなって、幸せな気分になりましたヽ(^。^)ノ
映画「うまれる」の完成を待ってうまれてくるなんて
なんていい子でしょう。.:♪*:・'(*⌒―⌒*)))
これから、まだまだお忙しいでしょうが
お身体を大事にして下さい。
赤ちゃんの成長を楽しみに下ます!!
トモさん&朋子さん
すてきな繋がりが「うまれる」のですね。
私も嬉しくて、心が温かくなりました。
お二人のことを選んでこの世に存在しに来たお子様に、
心からの祝福とお幸せを、お祈りしています。
トモさん、牛山さん、おめでとうございます\(^0^)/
もう興奮して、鳥肌が立ってしまいましたよ!^^
雲の上からこのタイミングを赤ちゃんは待っていたんだね!
今、トモさんが
>もし子どもが産まれても、愛することができないんじゃないか、
子どもが辛い思いをしてしまうんじゃないか、
そう思って、子どもがほしいと思っていなかったんです。
とおっしゃる、そのような思いで出産や結婚に踏み切れない方がとても多いようです。
自分のルーツである、親子や家族の絆こそが、
人生の基盤を創り、そしてそれがパートナーを引き寄せるのでしょうね。
だから、親子の絆の結び直しはとても大切なしあわせの鍵なのだと思います。
私がトモさんやこの映画を応援したかった理由は、将に
トモさんの「親との仲直り」というお言葉です。
そしてそれが、私自身がずっと伝えていきたいテーマでもあるのです。
映画の誕生と、これからますますのお幸せを
こころからお祈りしています!!!
豪田さん、牛山さん、おめでとうございます!!
ベビーちゃん御懐妊のニュースはとってもビックリさせらました!!
けど、とっても素敵なニュースでこちらも嬉しい気持ちになりましたよー!!
しかしながら、この絶妙なタイミング!
これは偶然というよりまさに必然に違いありませんねー^^
お二人の間に宿った小さな命は、
お二人ととっても深い深~い縁があって、
しかも、確実にお二人を選んで誕生するって感じがしますね^^
とっても神秘的です♥
お胎の中では今まさに細胞分裂を繰り返しつつ、
何億年もの進化の神秘をたった10ヶ月でやろうとしているので、
かなりめまぐるしいハズ。
毎日、毎日、めざましい変化の連続で大変なことになってると思います。
なので、女性の体調や気分もめまぐるしい事この上なくなってきたりして、
自分の体ながら驚かされること請け合いです^^
お体大事になさってご自愛下さいませ。
お二人+ベビーちゃんのご健康と幸せを心よりお祈り申し上げます。
本当に御懐妊おめでとうございました。
米粒ちゃん(ベビーちゃん)の成長報告、楽しみに待ってまーす!!
遅ればせながら、おめでとうございます!!
すっごい、びっくりしました!
村民の集いで、牛山さんと
「授かりたいという気持ちを解放しないと!」
なんてお話しをしていたのを思い出しました。
お互いに気持ちを解放できたのかな?ふふふ。
素敵なご報告ありがとうございました!
豪田さん、牛山さん
おめでとうございます。
豪田さんのお人柄が、今回のメールで初めて分かった気がしました。
ご両親の話、結婚や家族に対する想い。
ビシビシ伝わりました。
早くお二人に続きたいなぁとホッコリ思いつつ、豪田さんの喜びが伝わってこっちまで感動しちゃったのでコメントしました!
ともさん
ともちゃん
ほんとおめでとうございます!
私まで、嬉しい★
伝えたいことが山盛りなので、また!
トモさん、牛山さん
umareru村民のトモコと申します。
先日の六本木の集いではお世話になりました。
おめでとうございます!
素晴らしいサプライズに感激しています。
私は妊娠8か月に入り、新しい命の誕生を心待ちにして、
日々を過ごしています。
2010にこの世に誕生する命、楽しみです♪